Criança de 2 anos engole brinco e passa por procedimento no HU de Maringá

Uma menina, de 2 anos, passou por um procedimento clínico na madrugada desta terça-feira, 27, em Maringá, após engolir um brinco. O procedimento foi realizado pela equipe médica do Hospital Universitário (HU) de Maringá.
- Clique aqui e receba as notícias do GMC Online pelo WhatsApp
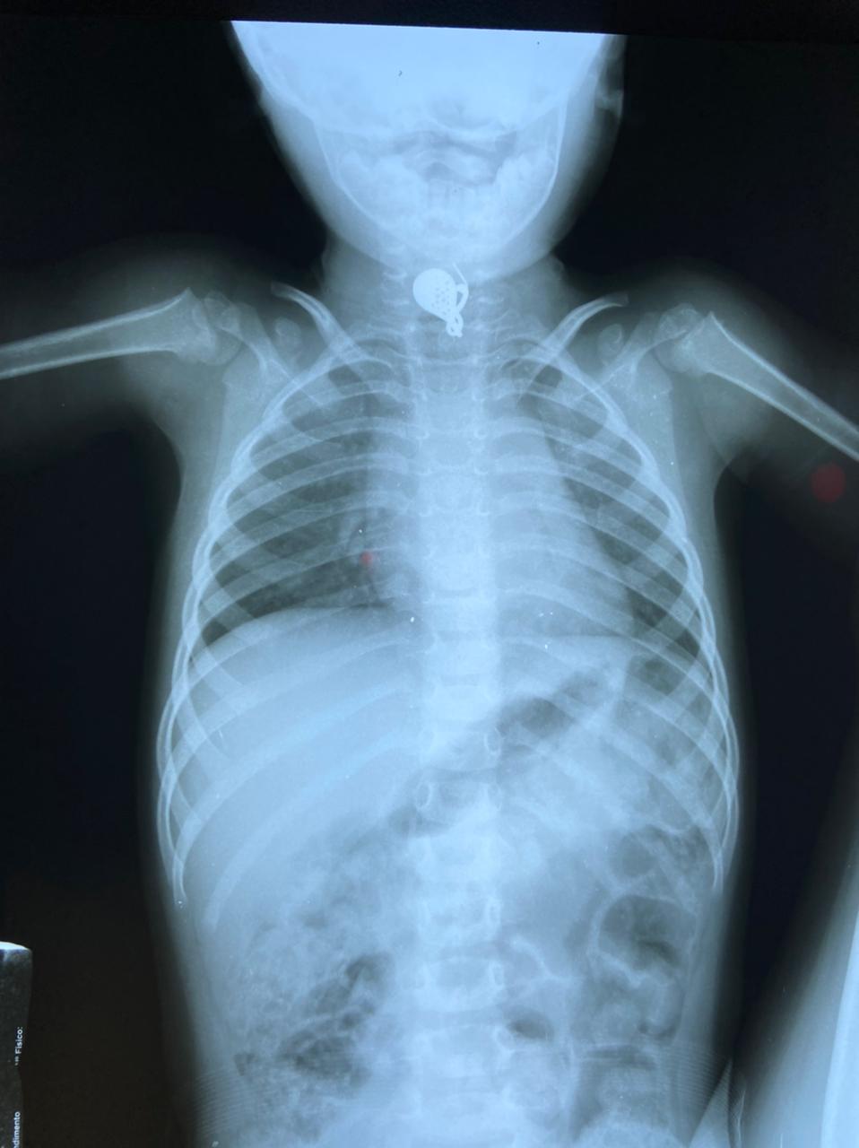
A criança, segundo informações apuradas pela reportagem, engoliu o brinco da avó e o material ficou parado perto do esôfago. A família é de Paraíso do Norte, na região Noroeste, e a menina foi trazida para Maringá para fazer o procedimento de retirada do brinco.
Segundo o médico Matheus Castilho, que fez o procedimento, a retirada do brinco foi um sucesso.
“O procedimento foi uma endoscopia digestiva alta que a gente usa uma pinça através do aparelho e a gente ‘pesca’ o brinco e puxa. Como estava bem próximo da boca e não era nenhum objeto pontiagudo ele acabou saindo facilmente, mas por conta da idade tivemos que fazer com a paciente em centro cirúrgico, entubado, com sedação e anestesia geral”, disse o médico Castilho.
No exame de raio X a equipe conseguiu observar o ponto exato onde estava o brinco para fazer o procedimento. A menina já recebeu alta do HU de Maringá e voltou para a cidade de Paraíso do Norte com os pais.

